Call 01423 799 960
A laterally tilted pelvis is more than just a postural imbalance. When the pelvis is not level and one side sits higher than the other, it can cause discomfort, pain, and long-term issues with walking, sitting, and spinal health. Sometimes referred to as a pelvic obliquity or asymmetrical pelvis, this condition can stem from both muscular imbalances and structural causes.
The good news is that in many cases, the right seating system can significantly reduce symptoms and even correct pelvic alignment.
This blogpost will walk you through what a lateral pelvic tilt is, why it happens, the signs to look out for, and how seating plays a critical role in treatment.
Jump straight to…
A laterally tilted pelvis occurs when one side of the pelvis (specifically the anterior superior iliac spine or ASIS) is positioned higher than the other. This creates an asymmetry in the body, which can affect both standing and sitting posture.

While many people assume it’s just a minor issue, a tilted pelvis can have a cascading effect on the body, altering spinal curvature and placing uneven stress on joints and muscles.
If left untreated, a lateral pelvic tilt can contribute to chronic pain, uneven wear on joints, and postural conditions like scoliosis. The severity depends on the underlying cause, but even a mild tilt can impact comfort and mobility over time.
When someone has a laterally-tilted pelvis, the hips appear uneven, with one side visibly higher than the other. The shoulders may slope or lean to compensate and when sitting, the person may habitually lean to one side. Their walking gait may look unbalanced or ‘lopsided’.
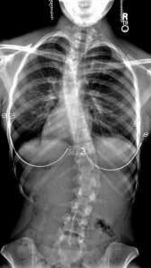
A scoliosis is a curvature of the spine, while a laterally tilted pelvis is a misalignment of the pelvis. However, the two conditions are closely linked. A tilted pelvis can contribute to scoliosis, and scoliosis often creates or worsens pelvic tilt. They are separate condition, but can be closely interconnected.

X-ray image of someone with scoliosis
Identifying the cause of a laterally tilted pelvis is crucial, because it determines the best way to manage and treat the condition. Causes generally fall into two categories, functional or structural.
These involve muscle or neuromuscular factors, rather than the structure of the pelvis itself.
Muscle tightness or spasms: Overactive muscles in the lower back or hips can pull the pelvis unevenly.
Right diaphragm dominance: The right diaphragm is often larger, subtly pulling the body towards the right and creating asymmetry.
Poor or unsuitable seating: Chairs that lack proper support can reinforce bad posture, ‘locking in’ a tilted position.
Habitual patterns: Crossing one leg over the other, carrying weight on one side, or leaning can gradually shift pelvic balance.
These relate to the body’s anatomy and usually require external support to manage:
Leg length discrepancy: If one leg is shorter than the other, the pelvis tilts to compensate.
Scoliosis: The spine curves in a C-shape or S-shape, altering pelvic positioning.
Congenital abnormalities: Some people are born with skeletal differences that make them more predisposed them to pelvic tilt.
In either case, seating solutions can compensate for a laterally tilted pelvis, correcting the tilt and restoring balance and comfort.
The signs may vary in intensity, but common symptoms include:

These symptoms often worsen over time, so it is important to address the root cause as early as possible.
The approach depends on whether the cause is functional or structural.
Treatment usually involves physical therapy, targeted stretches, and strengthening exercises to restore muscle balance. For example, loosening tight quadratus lumborum muscles or strengthening weak glutes can help.

Here, exercises alone won’t correct the problem. External interventions, in particular customised seating, are required to restore balance.
This is where seating solutions come into play – they provide the external support that compensates for leg length differences, spinal asymmetry, or pelvic instability.
If you have a laterally tilted pelvis, the way you sit matters enormously. The wrong seating can worsen pelvic misalignment, but the right seating can help correct it.
Here are some of the most effective seating strategies for a laterally tilted pelvis.
It’s always best to start with correcting pelvic alignment if someone’s posture is not fixed. The pelvis is the base of good sitting posture, which is why we look at this first when seeing how we can get someone’s posture straight.

Removable seat cushions allow for more targeted adjustments, with wedge-shaped cushions, extra padding, or pressure-relieving gel that can be used to raise one side of the pelvis.

STX Cushion Seating Accessories
Seat width: Too wide and you’ll lean; too narrow and you’ll sit twisted. The correct seat width keeps the pelvis stable.
Armrest height: Uneven or poorly positioned armrests can cause the trunk to lean unevenly, tilting the pelvis.
Cocoon backrests, lateral wedges and supports keep the pelvis and spine aligned toward the midline.

Arene lateral backrest
For those with leg length discrepancies, split or adjustable footplates are useful accessories. By setting each foot at the correct height, the legs can stay level rather than lifting one side of the pelvis.
Even with the best seating, staying in one static position isn’t ideal. Being able to regular shift and reposition posture with tilt-in-space helps reduce pressure and maintains circulation.
A laterally tilted pelvis isn’t just a minor misalignment, it can have a significant impact on posture, comfort, and long-term health. Whether it’s caused by functional issues like muscle imbalance or structural differences like scoliosis or leg length discrepancy, the right seating system can make all the difference.
With features like adjustable footplates, lateral supports, custom cushions, and tailored seat dimensions, seating not only compensates for pelvic tilt but actively helps restore balance and reduce pain.
Q: Can a laterally tilted pelvis cause back pain?
A: Yes. Uneven pelvic alignment forces the spine and surrounding muscles to compensate, which often leads to chronic lower back pain.
Q: Can you fix a lateral pelvic tilt naturally?
A: Mild, functional tilts may be corrected with stretching, strengthening, and improved posture habits. However, structural causes typically require external support such as seating modifications.
Q: How do I know if I have a lateral pelvic tilt?
A: A physiotherapist can perform an assessment. At home, you might notice uneven hips, an unbalanced walk, or discomfort when sitting for long periods.
Just fill out this form and we'll get back to you within 1 working day.